오산대역치과 매복된 치아가 있어요

거울을 보면 송곳니가
한쪽만 올라오지 않았거나
치열이 유난히 좁아 보이는 경우가 있습니다.
이런 상황은 단순히
‘치아가 늦게 나는 것’이 아니라,
턱뼈 공간이 부족해 송곳니가
제자리를 찾지 못한
매복 상태일 가능성이 큽니다.
악궁(턱의 폭)이 좁으면
새 치아가 들어설 자리가 부족해지고,
특히 송곳니처럼 늦게 나는 치아는
뼈 속에 머무르거나
비정상적인 방향으로 자라기도 합니다.
이럴 때는 단순히
송곳니만 끌어내는 것이 아니라,
먼저 턱뼈를 확장시켜
공간을 만들어주는 과정이 필요합니다.
오늘은 악궁 협소로 인해
송곳니가 매복되어
악궁 확장 및 교정치료를 진행한
환자분의 치료 사례를 통해
오산대역치과 365서울차오름의
치료과정을 소개해 드리겠습니다.

25.08.25
위 환자분께서는 왼쪽 위 송곳니가 매복되고
치아 사이 공간이 넓어,
정상적인 교합이 이루어지지 않았습니다.
송곳니가 제자리를 찾지 못하고
뼈 속에 남아있는 상황이었으며,
이로 인해 치열이 불균형하게
배열되었습니다.

25.08.25
확인해 보니,
현재 위쪽의 악궁이 좁아서
송곳니가 매복된 것이었고,
이로 인해 송곳니가 정상적으로
자리를 잡지 못하고 있었습니다.
이 문제를 해결하기 위해
오산대역치과 365서울차오름에서는
MARPE를 사용하여 상악을 확장하고,
매복된 송곳니를 올바른 위치로
견인하는 교정 치료를 진행하기로
계획을 수립하였습니다.

<MARPE란?>
MARPE는 상악의 좁은 악궁(턱뼈)을
확장시키기 위해 사용되는 교정 장치로,
주로 성인에게도 적용 가능한
비수술적 치료법입니다.
기존의 RPE(급속 구개 확장 장치)는
어린이나 청소년에게 주로 사용되었지만,
MARPE는 성인도 치료할 수 있는 방법으로
발전한 것입니다.
<원리>
MARPE는 입천장에 미니스크류를 삽입해,
구개뼈를 급속히 확장시키는
방식으로 작동합니다.
장치에 장착된 나사를 돌리면,
상악의 양쪽이 천천히 벌어지며
공간이 확장되고,
그 후에 매복된 송곳니나 치아들을
정상적으로 배치할 수 있습니다.

25.09.15
교정 치료 전 충치가 있는 부분을
전부 치료를 진행하였습니다.
그리고 공간을 어느 정도
만들어주기 위해
치아 사이에 고무링을 끼웠습니다.
이 공간은 MARPE 장치가
치아에 제대로 장착될 수 있도록
돕기 위한 준비 과정입니다.
그리고 공간이 만들어진 후
MARPE 장치의 인상 채득을 진행하여,
환자에게 맞는 정밀한 MARPE 장치가
제작될 수 있도록 했습니다.
이제 준비가 완료되면,
MARPE 장치를 치아에 장착하고
악궁을 확장하는 치료가 시작됩니다.
이 과정을 통해 악궁을 넓히고,
교정 치료가 더 원활하게
진행될 수 있습니다.

25.09.29
이후 만들어진 장치를
치아에 장착하여
확장하는 치료가
진행되었습니다.
이 과정은 좁은 악궁을 넓혀
송곳니가 정상적으로
자리를 잡을 수 있도록 도와주는
중요한 단계입니다.

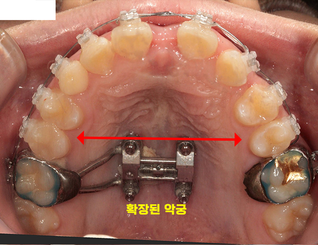
25.10.13
2주 정도 지난 뒤,
확인을 해보았습니다.
좁았던 악궁이 확장되었으며
그만큼 치아 간격도 더 넓어져
공간이 확보되었습니다.
이제 송곳니가 자리를 잡을 수 있는
충분한 공간이 마련되었으며,
이후에는 매복되어있는 송곳니를
견인하고 정상적인 위치로
이동시키기로 하였습니다.

25.08.25 / 25.10.13
치료 전후 사진입니다.
환자분께서는 송곳니 하나가 없어서
치아 배열에 불편함이 있었지만,
악궁 확장 치료를 통해
충분한 공간이 확보된 후,
치아 배열이 개선된 결과에 대해
매우 만족해주셨습니다.
확장 과정에서 불편함과 통증이 있으셨지만
시간이 지나면서 점차 적응되었고,
치료가 진행될수록
불편함은 완화되었습니다.
이처럼 오산대역치과 365서울차오름은
환자분의 개별적인 상황에 맞춘
맞춤형 치료를 제공하여,
치료 후 더 나은 결과와
만족스러운 변화를 선사하고 있습니다.
치아 교정과 관련된 모든 과정에서
세심한 관리와 전문적인 치료를 통해
환자분들이 자연스럽고
아름다운 미소를 되찾을 수 있도록
도와드립니다.
위 사례처럼 악궁이 좁아
치아가 매복되어 있어 심미적으로
불편함을 느끼고 계신다면
오산대역치과 365서울차오름치과에서
교정상담을 받아보시길 바랍니다.
감사합니다.
*모든 증례 사진은 의료법 제23조, 제 56조에 의거하여,
당사자의 동의하에 게시하였습니다.
*치료 사진은 모두 본원에서 치료한 환자분의 사진입니다.
*치료 사진은 모두 동일인의 사진이며,
동일조건에서 촬영하였습니다.
*개인의 차이에 따라 시술 및 수술 후 부작용이 발생할 수 있으며,
의료진과 충분한 상담을 받으시기 바랍니다.
오산대역치과