
25.10.24 서울차오름치과_블로그형 홈페이지(PC)

1
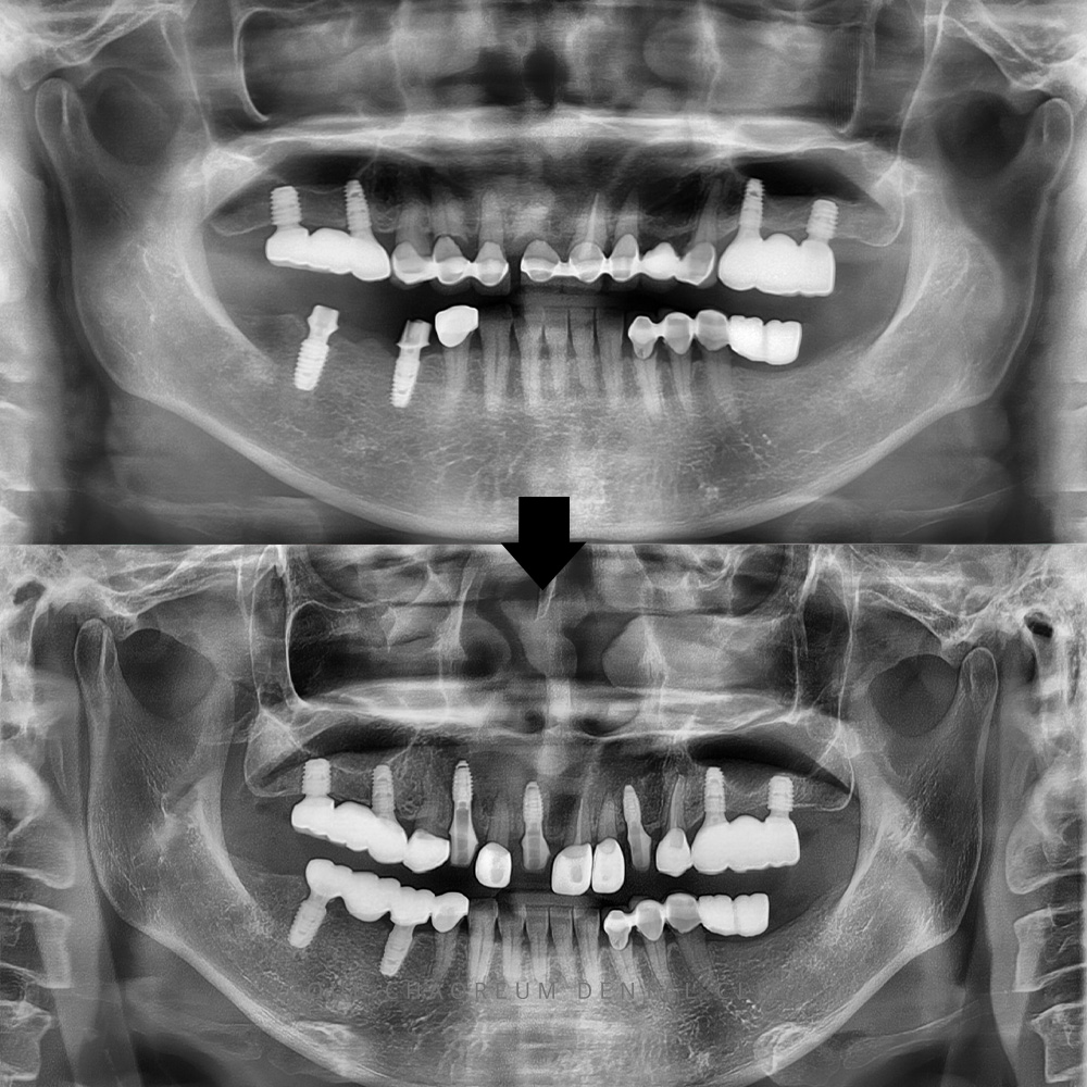
병점임플란트, 임플란트 받았던 곳이 문제가 생기고 위 앞니 보철 흔들려요
365서울차오름치과
2026-02-27
병점임플란트, 임플란트 받았던 곳이 문제가 생기고 위 앞니 보철 흔들려요 치아는 서로 균형을 이루며 기능하기 때문에, 특정 부위에 문제가 발생하면 인접 치아까지 영향을 받는 경우가 많습니다. 특히 어금니와…
병점치과 아래 앞니 브릿지 치료가 가능한가요?
365서울차오름치과
2026-02-25
병점치과 아래 앞니 브릿지 치료가 가능한가요? 치아는 단순히 음식을 씹는 도구를 넘어, 발음과 얼굴 인상, 저작 균형까지 영향을 주는 중요한 구조물입니다. 특히 아래 앞니는 겉으로 잘 드러나는 부위인…
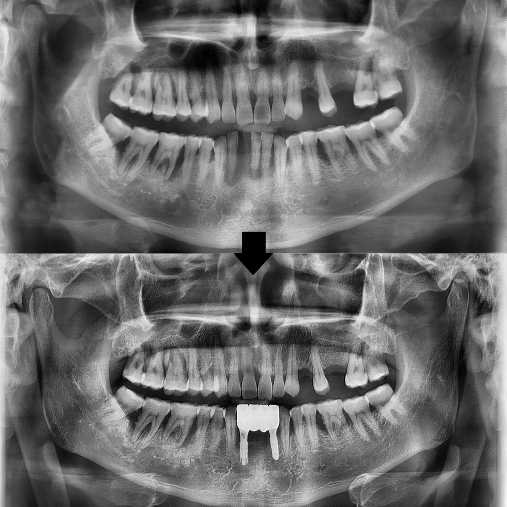
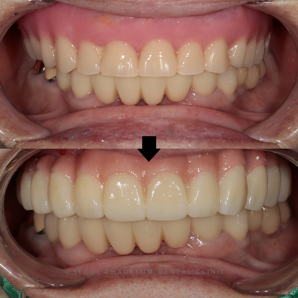
병점치과 위 앞니 상담 원해요
365서울차오름치과
2026-01-27
병점치과 위 앞니 상담 원해요 앞니는 말할 때나 웃을 때 가장 먼저 보이는 부위인 만큼, 기능뿐 아니라 심미적인 역할도 매우 큽니다. 과거에는 앞니가 손상되었을 때 브릿지 치료를 선택하는…
오산대역치과 오른쪽 아래 어금니가 불편해요
365서울차오름치과
2026-01-14
오산대역치과 오른쪽 아래 어금니가 불편해요 사랑니는 턱뼈의 가장 안쪽에서 맹출하는 특성상 정상적으로 자라지 못하고 잇몸이나 뼈 속에 매복되는 경우가 많습니다. 특히 매복사랑니를 장기간 방치할 경우 주변 조직에 지속적인…
병점치과 혀 밑에 물집 같은 게 생겼어요
365서울차오름치과
2025-12-15
병점치과 혀 밑에 물집 같은 게 생겼어요 혀 밑은 여러 침샘이 모여 있는 부위로, 이 부위에 생긴 이상은 구강 건강에 큰 영향을 미칠 수 있습니다. 특히 하마종은 소타액선의…
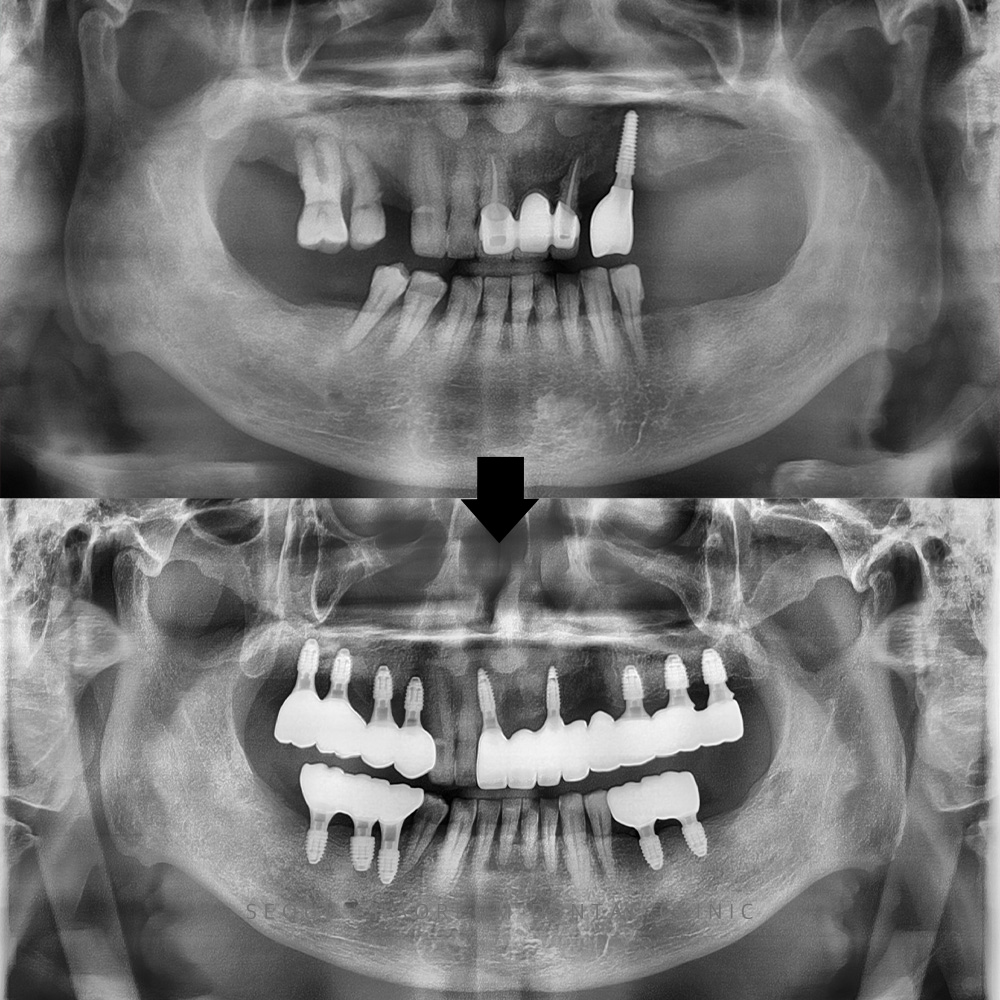
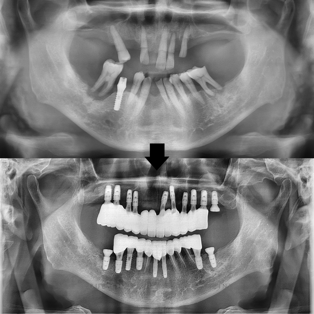
병점치과 전체적으로 임플란트 희망해요
365서울차오름치과
2025-12-02
병점치과 전체적으로 임플란트 희망해요 치아가 상실된 상태로 오래 방치되면 주변 치아들이 빈 공간으로 쓰러지거나 위·아래로 정출되는 변화가 쉽게 나타납니다. 이러한 변위는 교합 불균형을 만들고 잇몸 건강을 악화시키며, 보철·임플란트…





