세마역치과 치아 색상이 노랗게 보여요

세마역치과

 

치아 색은 개인마다 차이가 있으며,
이가 들거나 음식·음료, 흡연 등의
생활 습관에 따라 점점
노랗게 변할 수 있습니다.

 

특히 자연치아와 인공 보철물이
함께 있을 경우 색상 차이가
더욱 두드러져 보이기도 하는데요.

 

예를 들어, 아래 앞니에
크라운 치료를 받은 뒤
크라운 색상이 상대적으로 밝아
주변 치아와의 조화가
어색해 보일 수 있습니다.

 

이러한 상황에서 전체적인
심미 균형을 맞추기 위해
선택할 수 있는 방법이
바로 치아 미백입니다.

 

오늘은 앞니 크라운 치료 후
전체적인 치아 미백을 진행한
환자분의 치료 사례를 통해
세마역치과 365서울차오름의
치료 과정을 소개해 드리겠습니다.

 

세마치과

 

25.05.12

환자분께서는
처음 내원 당시 전체적으로 치아가
욱씬거리는 느낌이 있으시다며
세마역치과 365서울차오름치과에
내원을 해주셨습니다.

 

확인해보니 전체적으로
치석이 많이 쌓여 있었고,
오른쪽 아래 앞니는
신경치료를 받은 흔적은 있었지만
아직 크라운이 씌워지지
않은 상태였습니다.

 

이에 따라 365서울차오름에서는
우선 스케일링과 잇몸치료를 통해
치석을 제거하고,
오른쪽 아래 앞니는 크라운 치료를
진행하기로 하였습니다.

 

세마치과

 

25.06.12

먼저 스케일링과 잇몸치료로
치아를 깨끗하게 정리한 뒤,
아래 앞니를 다듬어
임시치아를 제작했습니다.

 

그러나 이틀 뒤,
치료한 앞니가 임시치아와
함께 부러져 다시 내원하게 되었는데요.

 

이에 재신경치료를 진행하며
치아 내부를 보강해
더 단단하게 만들었습니다.

 

재신경치료가 마무리된 후에는
내부에 기둥을 세워
크라운을 안정적으로
유지할 수 있도록 준비를 하였습니다.

 

세마치과

 

이후 정밀하게 인상채득을
진행한 뒤 크라운을 제작했습니다.

 

앞니는 심미적으로 매우
중요한 부위이기 때문에
색상과 형태를 세심하게
확인해야 하는데요.

 

환자분의 자연 치아는
다소 노란빛을 띠고 있었고,
제작된 보철물은 상대적으로
밝은 색상이었습니다.

 

원래는 색상을 다시 조정해
수정하는 것이 좋지만,
환자분께서 빠른 마무리를 원하셔서
우선 크라운을 장착하고
이후에 치아 미백을
진행하기로 하였습니다.

 

세마치과

 

25.06.23

이후 치아 미백을 진행하였습니다.

 

한 번의 시술만으로도
치아 색상이 크라운과
비슷하게 맞춰졌고,
미백 후 주의사항을 안내드리며
치료를 마무리했습니다.

 

이후 체크를 오시면서
추가로 미백을 진행할 지
보시기로 하셨습니다.

 

치아 미백은 영구적이지 않기 때문에
시간이 지나면서 다시
치아가 어두워질 수 있어서
추후 다시 어두워진 느낌이 드시면
그때 추가로 미백을 진행하기로 하였습니다.

 

세마치과

 

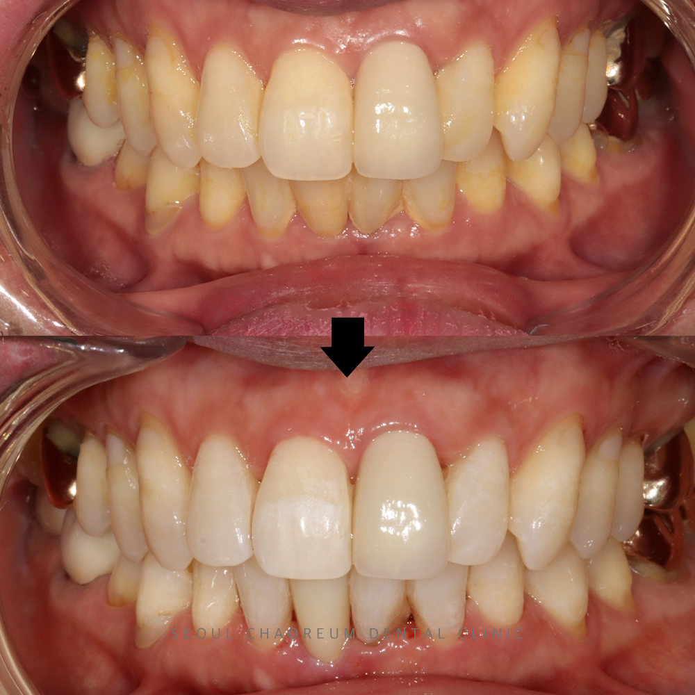
25.05.12 / 25.06.23

치료 전후 사진입니다.

 

환자분께서는 잇몸치료 이후
잇몸이 튼튼해진 느낌도 드시고,
크라운 치료와 미백 후 치아가
전체적으로 밝아져 심미적인 부분도
개선되어 매우 만족해주셨습니다.

 

이처럼 세마역치과 365서울차오름은
기능적인 치료뿐만 아니라
심미적인 부분까지 세심하게 고려하여
환자분이 더욱 건강하고 자신 있게
미소 지으실 수 있도록 돕고 있습니다.

 

또한 단순히 환자의 치아만을
바라보는 것이 아니라,
환자의 삶의 질까지 함께
생각하며 진료하고 있습니다.

 

치아에 불편함이 있으시다면
365서울차오름치과에서
자세한 상담과 정밀한 진단을 통해
개인별 맞춤 치료 방법을
안내받으시길 바랍니다.

 

감사합니다.

 

*모든 증례 사진은 의료법 제23조, 제 56조에 의거하여,
당사자의 동의하에 게시하였습니다.
*치료 사진은 모두 본원에서 치료한 환자분의 사진입니다.
*치료 사진은 모두 동일인의 사진이며,
동일조건에서 촬영하였습니다.
*개인의 차이에 따라 시술 및 수술 후 부작용이 발생할 수 있으며,
의료진과 충분한 상담을 받으시기 바랍니다.

 

문의 전화

031-375-2828

네이버 예약

네이버 예약