세마역임플란트 오른쪽 위 브릿지가 흔들려요

세마역임플란트

 

안녕하세요, 서울차오름치과입니다.

 

브릿지는 빠진 치아를 양옆 치아를 깎아

다리처럼 연결해주는 치료법으로,

비교적 짧은 시간 안에 치아 기능을

회복할 수 있다는 장점이 있습니다.

 

하지만 시간이 지나면서 브릿지를

지탱하는 치아에 과부하가 걸리거나,

보이지 않는 부분에 충치나 염증이 생겨

흔들리는 문제가 발생할 수 있습니다.

 

특히 하나의 브릿지에 여러 치아가 연결되어 있을 경우,

한 곳에 문제가 생기면 전체를

교체해야 하는 상황이 생기기도 하는데요.

 

오늘은 흔들리는 브릿지 때문에 내원하신

한 환자분의 치료 사례를 통해 세마역임플란트를

통한 개선 과정을 소개해드리겠습니다.

 

 

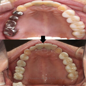
위 환자분은 오른쪽 위쪽 어금니 부위에

소구치부터 대구치까지 연결된

브릿지를 사용 중이셨는데,

브릿지가 흔들리면서 음식을 씹을 때

불편함을 느끼셨다고 합니다.

 

진단을 위해 파노라마 사진을 촬영한 결과,

다행히 앞쪽 치아인 작은 어금니는

치아 뿌리 상태가 양호했지만,

뒷쪽 큰 어금니는 흔들림이 심한 상태였습니다.

 

이에 기존 브릿지를 컷팅하여

작은 어금니 크라운은 유지하고,

뒷쪽에 해당하는 큰어금니는

흔들림이 심해 발치를 결정하였습니다.

 

그와 함께 중간 치아인 뒷쪽 작은 어금니와

앞쪽 큰 어금니까지 총 세 부위에

임플란트를 식립하기로 계획을 세웠습니다.

 

임플란트를 식립하기 위해서는

해당 부위의 뼈 상태가 중요합니다.

 

특히 상악 어금니 부위는 뼈가 얇거나

상악동이라는 빈 공간과 가까워

임플란트 식립이 어려운 경우가 많은데요,

 

환자분 역시 상악동 거상술이

필요한 상태였습니다.

 

상악동 거상술은 상악동 막을 들어올려

인공뼈를 넣는 시술로,

안정적인 임플란트 식립을 위한

중요한 과정입니다.

 

수술은 큰 문제 없이 잘 마무리되었고,

임플란트 식립 후 1개월 후

체크를 진행하기로 했습니다.

 

이 기간 동안 환자분은 브릿지를 잘라

사용한 작은 어금니의 심미적인

부분이 많이 아쉬우셨는지,

메탈로 된 예전 보철물 대신 이왕

치료하는 김에 앞쪽 작은 어금니도

예쁘게 만들고 싶다고 말씀하셨습니다.

 

다행히 작은 어금니의 내부 상태가

아주 양호해서 치아를 최대한

보존하면서 지르코니아 크라운으로

교체해드렸습니다.

 

지르코니아는 강도도 높고 색상도

자연치아와 유사하여 환자분께서도

만족도가 높으셨습니다.

 

그로부터 약 두 달 후,

임플란트 경과를 다시 확인하였습니다.

 

임플란트 안정도 측정을 진행한 결과,

세 부위 모두 좋은 수치를 보이며

안정적으로 골과 결합된 것을 확인할 수 있었습니다.

 

이에 맞춰 임시 치아를 제작해드렸고,

한 달 정도 사용하시면서 교합 상태에

적응하면서 조금 더 안정적으로

유착되는 기간을 가졌습니다.

 

 

약 한달 후, 최종 보철물을 제작하여

세마역임플란트를 마무리하였습니다.

 

최종 보철물은 마찬가지로

지르코니아로 제작되어 심미성과

기능성 모두 만족시킬 수 있도록 디자인하였습니다.

 

 

치료가 모두 마무리된 후 환자분께서는

예전에는 브릿지가 흔들려 식사 때마다 신경 쓰이고,

입을 벌릴 때도 보기 싫어 고민이 많았다고 하셨습니다.

 

하지만 지금은 심미적으로도 너무 만족스럽고,

식사도 훨씬 편해졌다고 웃으며 말씀해주셨습니다.

 

브릿지는 단기간에는 효과적이지만,

시간이 지나면 문제가 생길 가능성도 있는 치료입니다.

 

세마역임플란트는 뼈에 고정되어 독립적으로

기능하기 때문에 장기적인 안정성과

심미성 측면에서 더 유리할 수 있습니다.

 

 

다만, 어떤 치료가 적절할지는

각 치아의 상태에 따라 달라지므로,

반드시 정확한 진단을 바탕으로

치료 계획을 세워야 합니다.

 

앞으로도 서울차오름치과는

환자 한 분 한 분의 상태를 꼼꼼히 진단하고,

최적의 치료를 제공해드리기 위해

최선을 다하겠습니다.

 

감사합니다.

 

*모든 증례 사진은 의료법 제23조, 제 56조에 의거하여,

당사자의 동의하에 게시하였습니다.

*치료 사진은 모두 본원에서 치료한 환자분의 사진입니다.

*치료 사진은 모두 동일인의 사진이며,

동일조건에서 촬영하였습니다.

*개인의 차이에 따라 시술 및 수술 후 부작용이 발생할 수 있으며,

의료진과 충분한 상담을 받으시기 바랍니다.

 

 

문의 전화

031-375-2828

네이버 예약

네이버 예약