세마역임플란트 없거나 깨진 치아들 전체적으로 치료 상담을 원해요

안녕하세요, 365서울차오름치과입니다.
치과 진료를 미루는 가장 흔한 이유 중 하나는
“아직 그 정도는 아니겠지”라는 생각입니다.
특히 충치 같은 경우,
초반에는 통증이 심하지 않기 때문에
치료를 계속 미루는 분들이 많습니다.
하지만 충치는 시간이 지날수록
결코 저절로 나아지지 않습니다.
작은 충치가 신경까지 번지면
신경치료가 필요하게 되고,
심한 경우 치아를 살릴 수 없어
발치를 해야 하는 상황까지 이를 수 있습니다.
또한 충치가 오래 방치되면
치아 하나만의 문제가 아니라,
옆 치아나 대합치(맞물리는 치아)에도
영향을 주게 됩니다.
씹는 기능이 떨어지고 전체적인
구강 구조가 망가질 수 있죠.
충치를 제때 치료하지 않으면
치료 시간도 길어지고,
치료 비용도 훨씬 많이 들게 됩니다.
오늘은 저희 치과에 내원하신
환자분의 치료 과정을 공유드리려 합니다.

위 환자분께서는 처음 내원하실 때는
특별히 아프다기보다는 전체적으로
치료해야 할 곳들이 있어서 상담을
받아보고 싶다는 말씀을 하셨습니다.

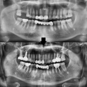
검진 결과, 여러 부위에 걸쳐
치료가 필요한 상태였는데요.
우선 눈에 띄었던 것은 오른쪽 위 큰 어금니가
완전히 탈락된 상태였습니다.
해당 부위는 세마역임플란트 치료가 필요한 상황이었고,
그 주변의 다른 치아들 역시 상태가 좋지 않았습니다.
오른쪽 위 맨 안쪽 큰 어금니와
왼쪽 위 작은 어금니,
큰 어금니 모두 충치가
상당히 진행되어 신경치료가
필요한 상황이었습니다.
또한 하악, 즉 아래턱 쪽의 경우에는
왼쪽 아래 큰 어금니의 뿌리 쪽에
염증이 생긴 상태로 확인되어,
이 역시 신경치료가 불가피했습니다.
반면, 오른쪽 아래 맨 안쪽 큰 어금니는
충치가 있긴 했지만 신경까지는 침범하지
않은 상태였기 때문에, 이 부위는
온레이 치료로 보존하기로 했습니다.
이렇게 여러 부위의 치료가 필요한 경우,
체계적으로 순서를 정해 하나씩
진행하는 것이 무엇보다 중요합니다.
환자분과 상의 후, 상악(위턱) 치료부터
먼저 진행하기로 결정했습니다.

가장 우선적으로는 오른쪽 위 큰 어금니가
빠진 부위에 임플란트를 식립하였고,
임플란트가 뼈와 유착되는 몇 개월의
기간 동안 나머지 부위 치료를 병행하기로 했습니다.
임플란트 수술 후, 우선 왼쪽 위
충치가 심한 치아들에 신경치료를
진행하고 크라운 제작을 했습니다.
이어서 오른쪽 위 어금니에도
신경치료를 마무리하고 크라운을 제작했습니다.
상악 치료가 완료된 후에는 하악으로 넘어가,
왼쪽 아래 염증 부위 신경치료,
그리고 오른쪽 아래 큰 어금니는
온레이로 치료를 진행했습니다.
세마역임플란트 식립 부위는 충분한 기간 동안
유착이 잘 이루어졌고 마지막으로 임플란트
최종 보철물을 장착하면서 치료를
모두 마무리할 수 있었습니다.

환자분께서는 치료가 처음에는 막막하게 느껴졌지만,
막상 시작하고 하나씩 마무리되자 생각보다
오래 걸리지 않았고 무엇보다
마음이 후련하다고 하셨습니다.
그동안 치료를 미루다가 오셨는데,
이번 기회에 큰 결심을 하셔서
전반적인 구강 건강을 다시 회복할 수 있었습니다.

저희 365서울차오름치과는 치료하러
오신 분들의 구강 건강이 전체적으로
회복될 수 있도록 항상 체계적이고
꼼꼼한 진료를 제공하고 있습니다.
혹시 지금 이 글을 보시는 분들 중에서도
치료를 미루고 계시다면,
너무 늦기 전에 꼭 검진부터
받아보시길 권해드립니다.
치료는 미룰수록 더 복잡해지고
비용도 늘어날 수 있습니다.
감사합니다.
*모든 증례 사진은 의료법 제23조, 제 56조에 의거하여,
당사자의 동의하에 게시하였습니다.
*치료 사진은 모두 본원에서 치료한 환자분의 사진입니다.
*치료 사진은 모두 동일인의 사진이며,
동일조건에서 촬영하였습니다.
*개인의 차이에 따라 시술 및 수술 후 부작용이 발생할 수 있으며,
의료진과 충분한 상담을 받으시기 바랍니다.