세교임플란트 앞니 심미적으로 회복하고 싶어요

안녕하세요, 서울차오름치과입니다.
앞니는 심미적인 기능이
중요한 부위이자,
사람의 첫인상을 좌우하는
핵심적인 위치입니다.
하지만 충치, 잇몸병, 외상 등으로 인해
앞니에 문제가 생기면
기능적인 불편함은 물론
사회생활이나 대인관계에서도
자신감을 잃기 쉽습니다.
그래서 앞니에 문제가 생겼을 때는
단순히 기능적인 회복에만
집중할 것이 아니라,
심미적인 요소까지 종합적으로
고려한 치료가 필요합니다.
오늘은 앞니의 파절 및 심미적인 회복을 위해
내원하신 환자분의 치료사례를 통해
세교임플란트 치료 과정을
소개해드리겠습니다.

24.08.05
위 환자분은 전체적으로
치료를 받아야 하는 부위가 많았지만
앞니가 충치로 인해 부러지거나
잇몸병으로 인해 잇몸이 내려가
치아 뿌리의 절반이 드러난 상황이었습니다.
관리의 미흡으로 인해
플라그와 치석이 눈에 보일 정도로
잇몸 경계부와 치아에 붙어있었습니다.
어떤 계획을 수립하던
치아에 치석이 남아있거나
구강 위생 관리가
제대로 이루어지지 않으면
치료 결과에 큰 영향을 줄 수 있습니다.
특히 임플란트 치료나
보철 치료와 같이
정밀한 시술의 경우
기본적인 잇몸 건강이
받쳐주지 않으면 염증이나
실패의 위험이 높아질 수 있습니다.
그래서 서울차오름치과에서는
전체적인 스케일링과 잇몸치료를 병행하며
치료를 진행하기로 하였습니다.
또한 치주병으로 인해
치아의 예후가 안 좋았기 때문에
발치 후 임플란트를 식립 하기로 하였습니다.

24.09.02
먼저 앞니 발치 후 임플란트를 식립하고
잇몸이 어느 정도 아물기까지 기다렸습니다.
앞니는 앞서 말한 것처럼
심미적으로 중요한 부위이기 때문에
임시치아를 먼저 만들어주었습니다.
임시치아 상태로 지내면서
임플란트가 뼈에 안정적으로
고정되는 기간을 충분히
확보하는 것이 무엇보다 중요합니다.
또한 이 시기는 겉으로는
큰 변화가 없어 보여도,
임플란트 주변 뼈와 조직이
서서히 자리를 잡아가는 결정적인 단계이기 때문에,
과도한 힘이 가해지지 않도록
주의하면서 위생 관리를 강조해드렸습니다.

24.12.03
이후 세교임플란트가 뼈에 안정적으로
고정된 것을 확인한 후
최종 보철 작업을 진행하였습니다.
처음 내원하셨을 당시
환자분은 심한 잇몸병으로 인해
잇몸뼈가 많이 소실된 상태였고
그로 인해 잇몸 높이 또한
부족한 상황이었습니다.
이러한 조건을 고려하지 않고
단순히 보철물을 제작하게 되면
치아의 머리 부분이
과도하게 길어져 비심미적인
결과를 초래할 수 있고
저작 시 부담도 커질 수 있습니다.
따라서 상실된 잇몸 부위의
심미적인 회복까지 고려하여
핑크 포세린(Pink Porcelain)을
활용한 보철물을 제작하였습니다.
핑크 포세린은 잇몸 조직과
유사한 색감과 형태를
표현할 수 있어,
보철물이 주변 조직과
자연스럽게 어우러질 수 있도록
도와줍니다.
특히 앞니처럼 심미적인 요소가
중요한 부위에서는
보다 자연스러운 외형을
구현하는 데 유용하게 활용됩니다.

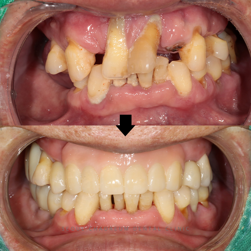
24.08.05 / 24.12.03
치료 마무리 후 사진입니다.
환자분께서는 처음 내원하셨을 때,
전반적인 구강 위생 관리가
어려운 상태였고
잇몸병이 상당히 진행되며
일부 치아는 파절 된 부위도
관찰되었습니다.
세교임플란트 치료를 통해
이러한 문제들을
안정적으로 회복한 뒤에는
웃을 때도 자신감을 되찾고
식사 시 불편함도 크게 줄어들어
높은 만족감을 보이셨습니다.
이처럼 기능적인 회복은 물론,
심미적인 부분까지 함께
고려한 임플란트 치료는
환자분의 삶의 질 개선에
긍정적인 영향을 줄 수 있습니다.
365서울차오름치과에서는
앞으로도 환자 한 분, 한 분의
구강 상태와 생활 환경을 면밀히 고려하여,
정밀한 진단과 세심한 치료 계획을 통해
더 나은 결과를 제공해드릴 수 있도록
앞으로도 최선을 다하겠습니다.
감사합니다.
*모든 증례 사진은 의료법 제23조, 제 56조에 의거하여,
당사자의 동의하에 게시하였습니다.
*치료 사진은 모두 본원에서 치료한 환자분의 사진입니다.
*치료 사진은 모두 동일인의 사진이며,
동일조건에서 촬영하였습니다.
*개인의 차이에 따라 시술 및 수술 후 부작용이 발생할 수 있으며,
의료진과 충분한 상담을 받으시기 바랍니다.