세교동치과 전체적으로 치료 상담 원해요

세교동치과

 

안녕하세요, 서울차오름치과입니다.

 

전체적으로 치아 상태가 좋지 않아
여러 개의 치아에 대해 발치나 보철치료가
필요할 수 있는 상황이라면,
단순히 한두 개만 치료하는 것이 아니라
전체적인 구강 상태를 고려한
종합적인 치료 계획이 중요합니다.

 

어느 부위의 치료를 먼저 진행할지,
발치는 어떤 순서로 진행할지,
보철치료는 어떤 방식으로 이어갈지 등을
진단을 통해 우선순위를 정해
단계별로 치료를 받는 것이 좋습니다.

 

무작정 치료를 시작하기보다는
전체적인 치료 계획을 세우고
시간과 비용, 치아 기능과 심미성까지
고려한 방향으로 치료를 진행하는 것이
더 만족스러운 결과로 이어질 수 있습니다.

 

오늘은 전체적으로 치아가 깨지고
씌운 보철이 탈락해 내원하신 환자분의
치료 사례를 통해 세교동치과의 임플란트 및 크라운
치료 과정을 소개해드리겠습니다.

 

세교동치과

 

위 환자분은 과거에
오른쪽 위, 아래 그리고 왼쪽 아래 치아에
보철 치료를 받으신 이력이 있으셨는데요.

 

최근 식사 중 보철물이 탈락하고
앞니 부위와 다른 어금니까지 깨지면서
씹는 데 불편함이 커지고
치료를 위해 내원하셨습니다.

 

이처럼 오래된 보철물은 시간이 지나며
접착력이 약해지거나
자연치의 상태 변화로 인해
탈락하거나 파절이 발생할 수 있어
정기적인 점검과 적절한 시기에
재치료가 필요할 수 있습니다.

 

세교동치과

 

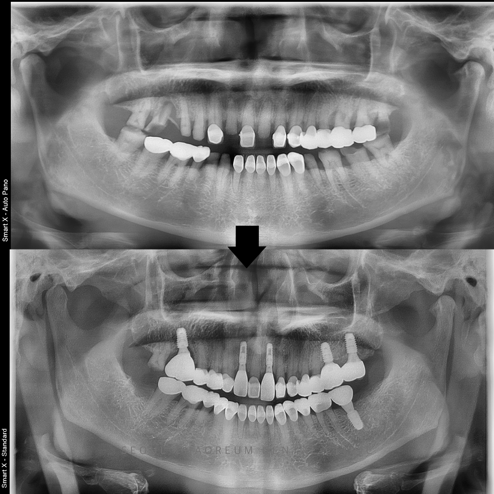
정밀한 진단을 위해 파노라마 촬영과
디지털 3D CT를 진행한 결과,
오른쪽 위 첫 번째 큰 어금니와
왼쪽 아래 두 번째 큰 어금니는
치아 머리 부분이 완전히 깨져 있었고
뿌리 부위까지 충치가 진행된 상태였습니다.

 

특히 오른쪽 위 어금니는
치아 뿌리 끝에 광범위한
염증 소견까지 확인되어
즉각적인 치료가 필요한 상황이었습니다.

 

또한 왼쪽 위 어금니들 역시
잇몸뼈가 많이 흡수돼 있었고,
앞니는 머리 부분의
절반 이상이 파절된 상태로
심미성과 기능 회복이
모두 필요한 상태였습니다.

 

이에 따라 사랑니를 포함해
총 8개의 치아를 발치하고,
6개의 임플란트를 식립 하는 방향으로
전체적인 치료 계획을 수립하였습니다.

 

그리고 과거에 치료 받으셨던 보철 치아 중 일부는
충치가 광범위하게 진행되었거나
치아가 많이 깨진 상태는 아니었기 때문에
기존 보철물을 제거한 뒤 상태를 점검하고
총 6개의 치아에 대해 재보철치료를
진행하기로 계획을 세웠습니다.

 

세교동치과

 

이처럼 전체적으로 여러 부위의
치료가 필요한 상황에서는
무엇보다 어디를
먼저 치료할지 결정하는 것이
매우 중요합니다.

 

통증이 있거나 염증이 심한 부위부터
우선적으로 치료를 진행하고
저작 기능이나 심미성 회복을 고려해
치료 순서를 체계적으로 정해야
불필요한 중복 치료나
시간 낭비를 줄일 수 있습니다.

 

세교동치과 365서울차오름에서는
심미적으로 중요한 앞니와,
염증이 크게 잡힌 오른쪽 위 치아 먼저
발치를 진행하기로 했습니다.

 

발치 후에는 즉시 임플란트 식립을 진행하였고,
앞니 부위는 심미적인 회복이 중요한 부위이기 때문에
디지털 구강 스캔을 통해 임시치아를 제작하였으며
제작된 임시치아는 접착 후
자연스럽고 안정적인 앞니 라인을
되찾을 수 있도록 도와주었습니다.

 

그리고 동시에 임플란트가
잇몸뼈와 잘 유착될 수 있도록
충분한 시간을 두고
경과를 관찰하였습니다.

 

계획에 맞춰 오른쪽 치료를 마무리한 뒤,
왼쪽 부위도 발치 후 임플란트를 식립하고
전체적인 치아 기능과 심미성을 회복하기 위해
최종 보철 치료 작업을 하였습니다. 

 

 

세교동치과

 

이렇게 총 5개월 동안의 전체적인 치료가
마무리 되었습니다.

 

세교동치과

 

치료가 모두 마무리된 후 환자분께서는
치료 전 치아를 봤을 때, 많이 상해있고
식사하기에도 불편해서
고민이 많았다고 하셨습니다.

 

하지만 지금은 보철 색상, 형태
모두 만족하셨으며
식사도 편해져서 소화도 잘 되신다고
말씀해 주셨습니다.

 

이처럼 처음 내원하셨을 때와 비교해
구강 기능과 심미적인 면에서 모두
큰 개선이 이루어진 것은
환자분의 꾸준한 내원과 치료 협조,
그리고 체계적인 치료 계획이 있었기에
가능한 결과였습니다.

 

앞으로도 정기적인 검진과
철저한 구강 위생 관리를 통해
임플란트와 자연치아 모두 건강하게 유지되길 바라며,
세교동치과 365서울차오름에서도
지속적으로 함께 관리해 드릴 수 있도록
최선을 다하겠습니다.

 

감사합니다.

 

*모든 증례 사진은 의료법 제23조, 제 56조에 의거하여,
당사자의 동의하에 게시하였습니다.
*치료 사진은 모두 본원에서 치료한 환자분의 사진입니다.
*치료 사진은 모두 동일인의 사진이며,
동일조건에서 촬영하였습니다.
*개인의 차이에 따라 시술 및 수술 후 부작용이 발생할 수 있으며,
의료진과 충분한 상담을 받으시기 바랍니다.

문의 전화

031-375-2828

네이버 예약

네이버 예약