세교동치과 앞니 임플란트 상담을 원해요

세교동치과

 

안녕하세요, 세교동치과 365서울차오름치과입니다.

 

앞니는 입을 벌리면 가장 먼저 보이는

치아이기 때문에 심미적인

요소가 매우 중요합니다.

 

단순히 기능만 회복한다고 끝이 아니라,

자연치와 최대한 비슷하게 보이도록

형태와 색상, 그리고 잇몸과의

조화까지 신경 써야 합니다.

 

또한, 앞니는 저작력이 크지 않지만

잇몸뼈가 얇고 구조적으로 민감하기 때문에

수술 전 정확한 진단과 계획이 필수입니다.

 

오늘은 본 원에서 앞니 임플란트를 진행하셨던

환자분의 케이스를 소개해 드리도록 하겠습니다.

 

세교동치과

 

이번에 내원하신 환자분은 빠진 치아들이 많았지만,

그 중에서도 앞니 치료를 먼저

진행하고 싶다고 하셨습니다.

 

오랜 기간 동안 앞니 없이 지내오셨지만,

다행히 잇몸뼈 상태가 양호하여

별도의 뼈이식 없이 임플란트를 당일에

바로 심는 즉시 식립 수술이 가능했습니다.

 

환자분께서는 고령의 나이셨음에도

따로 복용중인 약을 조절할 필요가 없으셔서

바로 수술을 진행하기로 하였습니다.

 

식립 전 CT 촬영을 진행하여

임플란트가 식립될 공간을

정밀하게 예상한 후,

마취를 진행하고 비교적 짧은 시간 내에

임플란트를 식립하였습니다.

 

수술 다음 날 환자분께서 드레싱을 위해

다시 내원하셨을 때에는 심미적인 부담을

최소화하기 위해 PMMA 재질의

임시치아도 함께 제작해드렸습니다.

 

여기서 PMMA 임시치아란,

폴리메틸메타크릴레이트

(Polymethylmethacrylate)라는 재료로 만들어진 임시 치아로,

강도와 심미성이 좋아 실제 치아처럼

자연스럽고 튼튼합니다.

 

임시치아가 들어간 후 환자분께서는

보기도 좋고 만족스럽지만,

아래쪽 앞니들도 요즘 들어

더 흔들리는 것 같다고 말씀하셨습니다.

 

 

진단해보니 아랫쪽 연결된 앞니들도

이미 많이 흔들리는 상태라,

발치가 필요한 상태였습니다.

 

이에 환자분과 상담 후 아랫니도 발치하고

즉시 임플란트 식립을 진행하였습니다.

 

역시 뼈 상태가 양호하여 추가 뼈이식 없이

수술이 가능했고 위쪽과 마찬가지로

임시치아까지 함께 제작해드렸습니다.

 

수술 후에도 통증이나 붓기 없이 잘 회복되셨고,

위, 아래 모두 임시치아가 있어 일상생활에

큰 불편함이 없다며 매우 좋아하셨습니다.

 

 

이후 몇 개월 간의 안정화 기간 동안

잇몸뼈와 임플란트가 잘 결합되었는지

정기적으로 확인하였고,

문제가 없음을 확인한 후

최종 보철물을 제작했습니다.

 

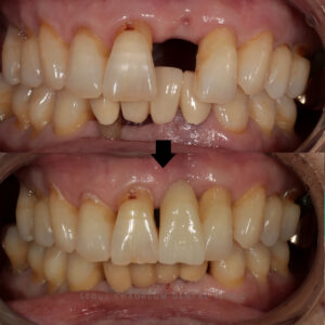
앞니 보철물은 특히 자연스러움을 최우선으로

고려해야 하기 때문에 치아 모양, 크기,

색상을 하나하나 조정하여 맞춤 제작했습니다.

 

완성된 보철물을 장착해드렸을 때

환자분께서는 내 치아처럼 자연스럽고

불편함도 없으시다며 매우 만족스러워 하셨습니다.

 

 

이처럼 앞니 임플란트는 심미성과 기능이 모두 중요한 만큼,

수술 전 정밀 진단과 세심한 계획 수립이 꼭 필요합니다.

 

마지막으로 수술 후에도 임플란트를

오래 잘 쓰기 위해서는 몇 가지

주의사항을 꼭 지켜야 합니다.

 

첫째, 칫솔질은 물론 치간칫솔이나

치실 등 보조기구를 꾸준히 사용해

플라그를 관리해주셔야 합니다.

 

둘째, 너무 단단한 음식을 반복적으로

무는 습관은 피하시는 것이 좋습니다.

 

셋째, 정기적인 치과 내원으로 잇몸 상태와

임플란트 주위 조직의 건강을

체크받는 것도 매우 중요합니다.

 

앞니 임플란트는 기능적인 회복뿐만 아니라

외모와 자신감에도 큰 영향을 주는 치료입니다.

 

이번 사례처럼 정확한 진단과 계획,

그리고 섬세한 보철 제작이 잘 이루어진다면

자연치 못지않은 결과를 얻을 수 있습니다.

 

앞으로도 저희 세교동치과 365서울차오름치과는

환자 한 분 한 분께 최적의 치료를

제공해드릴 수 있도록 노력하겠습니다.

 

감사합니다.

 

*모든 증례 사진은 의료법 제23조, 제 56조에 의거하여,
당사자의 동의하에 게시하였습니다.
*치료 사진은 모두 본원에서 치료한 환자분의 사진입니다.
*치료 사진은 모두 동일인의 사진이며,
동일조건에서 촬영하였습니다.
*개인의 차이에 따라 시술 및 수술 후 부작용이 발생할 수 있으며,
의료진과 충분한 상담을 받으시기 바랍니다.

 

 

문의 전화

031-375-2828

네이버 예약

네이버 예약