세교동치과 아래 치아가 없어서 식사하기 힘들어요

여러 개의 치아가 상실되거나
기울어진 상태라면,
단순히 보기 불편한 문제를 넘어
씹는 기능과 잇몸 건강에도
큰 영향을 주게 됩니다.
특히 치주염이 진행되면 잇몸뼈가
서서히 흡수되어 치아를
지탱하기 어려워지고,
남아있는 치아마저 흔들리거나
기울어지는 현상이
나타날 수 있습니다.
이 과정이 반복되면 음식을
제대로 씹기 힘들어지고
발음에도 영향을 줄 수 있어,
삶의 질이 눈에 띄게
떨어지게 됩니다.
이러한 경우, 손상된 치아를
무리하게 유지하기보다
발치를 통해 문제를 정리하고
전체 임플란트로 기능과 심미를
회복하는 치료가 고려됩니다.
오늘은 아래쪽 치아 발치 후
전체 임플란트를 진행한
환자분의 치료 사례를 통해
세교동치과 365서울차오름의
치료 과정을 소개해 드리겠습니다.

25.03.21
환자분께서는
아래쪽 치아의 상실된 부분이 많고
남아있는 치아도 온전치 않아
식사하기 불편하시다며
내원해주셨습니다.
확인해보니,
아래쪽 치아들의 상실된 부분도 있고,
남아있는 치아들의 예후도
안좋았는데요.
오른쪽 아래 큰 어금니는
뿌리 하방으로 염증이
크게 잡혀있었습니다.


25.03.21
관리가 잘 되지 않아
치석이 많이 쌓여 있었고,
여러 부위에서 충치도
깊게 진행된 상태였습니다.
세교동치과 365서울차오름에서는
남아 있는 치아들의
예후가 좋지 않아 치료를 통해
살린다고 하더라도
빠른 시일 내에 탈이 날 가능성이 있어
발치 후 임플란트를 진행하기로
계획을 수립하였습니다.
또한 치석이 제거되지 않은 상태에서
치료를 진행하게 되면,
치료한 부위에 다시 문제가 생길 수 있기 때문에
우선 구강 내를 깨끗하게 하며
안정적으로 임플란트를
식립하기로 하였습니다.

먼저 전체적인 스케일링을 진행한 후,
환자분께서 양쪽을 동시에
진행하기에는 부담이 있어
오른쪽부터 먼저
진행하기로 했습니다.
오른쪽 아래 치아에는
큰 염증이 있었기 때문에,
발치하면서 염증 부위도
깨끗하게 소파하여 처리했습니다.
그 후, 임플란트 식립과 함께
뼈이식도 진행하였고,
이 작업이 마무리된 후에는
왼쪽 치아의 발치와 임플란트 식립,
뼈이식을 순차적으로 진행했습니다.

그리고 세교동치과 365서울차오름에서는
아래 임플란트를 식립하면서,
환자분이 빠르게 일상 생활을 할 수 있도록
임시 치아를 바로 장착했습니다.
임시 치아는 임플란트가
완전히 자리를 잡고 안정화되기 전까지,
치아의 기능과 심미적인 부분을
일시적으로 해결해주는 중요한 역할을 합니다.
이를 통해 환자분은 발치 후에도
일상적인 식사와 대화를 하는 데
불편함을 줄일 수 있었습니다.
또한 임플란트가 안정화되기 전까지는
위쪽 치아의 잇몸 치료를 병행하여,
구강 건강을 전체적으로 관리하면서
치료의 완성도를 높였습니다.


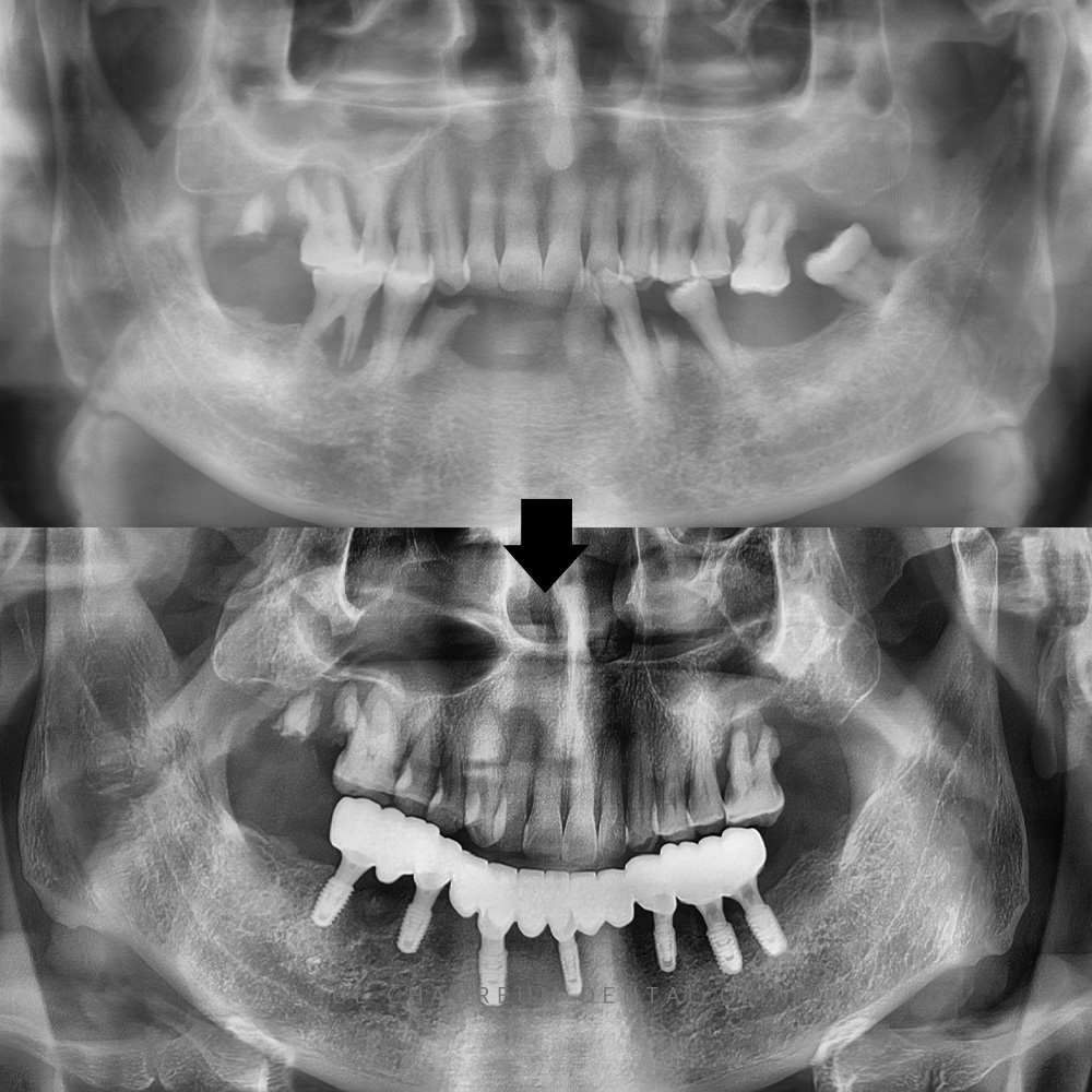
25.07.06
이후 임플란트의 수치를 재보니
이상 없이 잘 나오고 있었고,
그에 따라 최종 보철 작업을
시작하게 되었습니다.
최종 보철 작업을 진행하기 전,
치아의 높이나 맞물리는 부분을 확인하기 위해
왁스림을 진행하여 치아의
모양과 기능을 세밀하게 확인한 후,
정밀한 맞춤형 보철을 완성하였습니다.

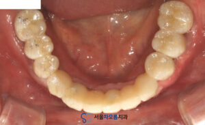
25.03.21 / 25.07.06
치료 전후 사진입니다.
환자분께서는 치료 이후
식사를 편하게 하실 수 있고
보철도 심미적으로 완성되어
매우 만족해주셨습니다.
또한 치아를 다 발치한 후
몇 개월 동안 치아가 없는 상태로
지내야 할까 봐 걱정하셨는데,
임시 치아를 빠르게 장착하여
그 걱정을 덜어드릴 수 있었습니다.
이를 통해 세교동치과 365서울차오름은
치료 과정 동안 불편함을 줄이고,
보다 자연스러운 회복을 도왔습니다.
이처럼 365서울차오름치과는
환자 중심의 진료로,
개개인의 상황에 맞는
맞춤형 치료를 제공하며,
환자분들이 편안하고 안정적으로
치료를 받으실 수 있도록
항상 노력하고 있습니다.
상실된 치아의 회복을 위해
고민중이시라면
365서울차오름치과에서
진단과 상담을 받아보시길 바랍니다.
감사합니다.
*모든 증례 사진은 의료법 제23조, 제 56조에 의거하여,
당사자의 동의하에 게시하였습니다.
*치료 사진은 모두 본원에서 치료한 환자분의 사진입니다.
*치료 사진은 모두 동일인의 사진이며,
동일조건에서 촬영하였습니다.
*개인의 차이에 따라 시술 및 수술 후 부작용이 발생할 수 있으며,
의료진과 충분한 상담을 받으시기 바랍니다.