병점치과 전체적으로 임플란트 희망해요

치아가 상실된 상태로 오래 방치되면
주변 치아들이 빈 공간으로 쓰러지거나
위·아래로 정출되는 변화가
쉽게 나타납니다.
이러한 변위는 교합 불균형을 만들고
잇몸 건강을 악화시키며,
보철·임플란트 치료 시에도 공간 확보를
어렵게 만드는 등
여러 문제를 일으킬 수 있습니다.
특히 상실된 치아가
여러 부위에 걸쳐 있을 경우,
남아 있는 치아들은 지지점을 잃어
더 빠르게 위치가 틀어지기 쉽습니다.
하지만 모든 치아가 발치가
필요한 것은 아닙니다.
철저한 진단을 통해 살릴 수 있는 치아는
신경치료와 크라운 치료 등을 통해
기능을 회복시키는 것이 우선입니다.
치료가 가능한 치아를 보존하는 것은
전체적인 교합 안정과
장기적인 구강 건강을 위해
매우 중요합니다.
이러한 보존 치료와
필요한 부위의 발치를 병행한 후,
잃어버린 치아의 기능과 심미를
회복하기 위해 임플란트를
계획하게 됩니다.
오늘은 전체적인 임플란트 식립을
진행한 환자분의 치료 사례를 통해
병점치과 365서울차오름의
치료과정을 소개해 드리겠습니다.

25.03.28
위 환자분께서는
전체적으로 치아가 상실되고 안 좋아
옆으로 쓰러지고 흔들려
불편하다며 본원에 내원해 주셨습니다.

25.03.28
파노라마를 확인해 보니,
상실된 부위도 많았으며,
그로인해 잔존치아들이 옆으로 쓰러지고
정출됨을 관찰할 수 있었습니다.
또한 치주염도 심한 상태로
확인되었으며,
상실된 부위에서는 잇몸뼈가
상당 부분 흡수되어있었습니다.
병점치과 365서울차오름은
해당 치아들을 전부 발치한 후
뼈이식을 동반하여 임플란트를
식립하기로 계획을 수립하였습니다.

25.03.28
본원은 살릴 수 있는 치아는
살리는 방향으로 진단하여
치료를 진행합니다.
전체 치아를 발치하지 않고
살릴 수 있을만한 치아는
신경치료와 크라운 수복을 통해
회복하기로 하였습니다.

<치아 상실 후 방치하면 생기는 일은?>
1️⃣주변 치아 쓰러짐
빈 공간으로 인접 치아가 기울어지며
치열이 흐트러집니다.
이로 인해 교합이 어긋나고,
음식물 끼임과 충치·잇몸병
위험이 증가합니다.
2️⃣맞물리던 치아의 정출
대합치는 지지하는 치아가 없으면
점점 내려오거나 올라오며
정상적인 교합이 무너지고,
결국 해당 치아도 치료가
필요해질 수 있습니다.
3️⃣잇몸뼈 흡수
치아가 없는 부위의 치조골은
사용되지 않기 때문에
시간이 지날수록
높이와 두께가 줄어듭니다.
이는 임플란트 식립을 어렵게 만들고,
뼈이식이 필요한 경우가 많습니다.
4️⃣저작 기능 저하
한쪽으로만 씹는 습관이 생기면서
턱관절 통증, 턱 소리, 두통 등
전신 증상이 동반되기도 합니다.
5️⃣심미 변화
치아 상실이 오래 지속되면
입술 지지가 약해져
팔자주름이 깊어지고
얼굴 윤곽이 꺼져 보일 수 있습니다.
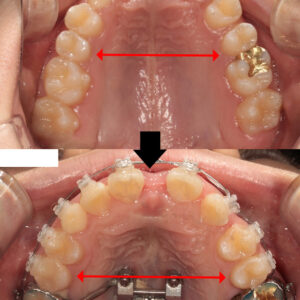
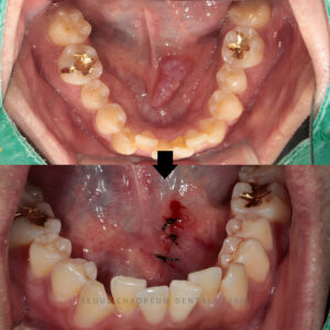
25.05.24
먼저 전체적으로 발치할 치아를
전부 발치하고,
잇몸뼈가 부족한 부분엔
뼈이식을 동반하여 임플란트를
식립하였습니다.
그리고 임플란트는 식립 후
안정적인 골유착을 위해
치유 기간이 반드시 필요하기 때문에,
그동안에는 보존 가능한 치아들에 대해
신경치료를 진행하며
전체적인 치료를 정리해 나갔습니다.
이후 임플란트의 치유기간을 거친 후
뼈와 임플란트가 결합된 것을 확인하고,
맞춤형 지대주와 임시치아를
제작하여 장착해 드렸습니다.
임시치아는 단순히 심미를 위한 목적뿐 아니라
잇몸 형태를 다듬고,
최종 보철이 정밀한 위치와 교합으로
완성될 수 있도록 도와주는
중요한 단계입니다.
전체적으로 교합이 무너져 있던 상태였기 때문에
임시치아를 통해 새로운 교합을
안정적으로 형성하고,
저작 시 불편함이나 이상이 없는지
세밀하게 확인해 나갔습니다.
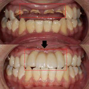
25.09.13
이후 임시치아를 통해
안정적으로 형성된 교합을 토대로
최종 보철을 제작하였습니다.
최종 보철은 심미성과 기능적인 요소를
반영하여 정밀하게 디자인되며,
심미성과 기능을 동시에
충족할 수 있도록 제작됩니다.
장착 후에는 저작 시의 편안함,
발음 변화 여부, 잇몸과의 적합성 등을
다시 한 번 확인해 필요한 부분을
미세 조정함으로써 자연스러운 사용감과
장기적인 안정성이 확보되도록 하였습니다.

25.09.13
이렇게 임플란트 보철 및
신경치료 후 크라운 보철이
완성되어 마무리되었습니다.

25.03.28 / 25.09.13
치료 전후 사진입니다.
환자분께서는 전체적으로 치아가 쓰러지고
흔들려 식사하기도 힘들고
너무 불편했는데 전체적으로 치료를 받고
회복할 수 있어서 다행이라며 만족해 주셨습니다.
또한 전체 발치가 아닌 살릴 수 있는 치아는
살리는 방향으로 치료해줘서 고맙다고
말씀해 주셨습니다.
이처럼 병점치과 365서울차오름은
무조건적인 발치나 임플란트가 아닌,
환자분의 치아를 보존하고
개별 상태에 맞는 최적의 치료 방향을
제시해 드리는 것을
가장 중요한 원칙으로 삼고 있습니다.
앞으로도 환자분들께서
기능적·심미적으로 모두 만족하실 수 있는 결과를 위해
철저한 진단과 꼼꼼한 치료,
그리고 개개인에 맞춘 맞춤형 계획으로
최선의 진료를 이어가겠습니다.
위 사례처럼 상실된 치아로 인해
전체적으로 치아가 무너져
불편함을 겪고 계신다면
병점치과 365서울차오름치과에서
전체적인 진단을 받아보시길 바랍니다.
감사합니다.
*모든 증례 사진은 의료법 제23조, 제 56조에 의거하여,
당사자의 동의하에 게시하였습니다.
*치료 사진은 모두 본원에서 치료한 환자분의 사진입니다.
*치료 사진은 모두 동일인의 사진이며,
동일조건에서 촬영하였습니다.
*개인의 차이에 따라 시술 및 수술 후 부작용이 발생할 수 있으며,
의료진과 충분한 상담을 받으시기 바랍니다.
병점치과