병점치과 위 앞니 상담 원해요

앞니는 말할 때나 웃을 때
가장 먼저 보이는 부위인 만큼,
기능뿐 아니라 심미적인 역할도
매우 큽니다.
과거에는 앞니가 손상되었을 때
브릿지 치료를 선택하는 경우가 많았지만,
시간이 지나면서 잇몸이 내려가거나
보철물 경계가 노출되는
문제가 생길 수 있습니다.
특히 롱 브릿지의 경우
인접 치아와 잇몸에 부담이 누적되면서
위생 관리가 어려워지고,
그 결과 2차 충치나 염증으로
이어지는 사례도 적지 않습니다.
이처럼 오래된 보철 치료 후
발생한 문제는 단순히 보철을
다시 씌우는 것만으로 해결되기
어려운 경우가 많아,
발치를 포함한 근본적인 치료 계획이
필요할 수 있습니다.
최근에는 임플란트와
크라운 치료를 통해
기능 회복은 물론,
자연스러운 잇몸 라인과 심미성까지
함께 개선하는 방향으로
치료가 진행되는 경우가 늘고 있습니다.
오늘은 앞니 브릿지 제거 후
발치 + 임플란트 및 크라운을 진행한
환자분의 치료 사례를 통해
병점치과 365서울차오름의
치료과정을 소개해 드리겠습니다.


25.08.22
환자분께서는 오래전 치료했었던
앞니 브릿지가 심미적으로 안좋고
충치도 생긴 것 같다며 상담을 위해
본원에 내원해 주셨습니다.
확인해 보니,
보철이 오래되면서 잇몸 퇴축이 진행되어
브릿지 경계 부위가 노출되어 있었고,
그로 인해 심미적인 불만뿐 아니라
보철 하방으로 충치가 의심되는
상태였습니다.
특히 앞니 롱 브릿지 특성상
위생 관리가 쉽지 않아,
장기간 사용하면서 치아와 잇몸에
부담이 누적된 것으로 판단되었습니다.

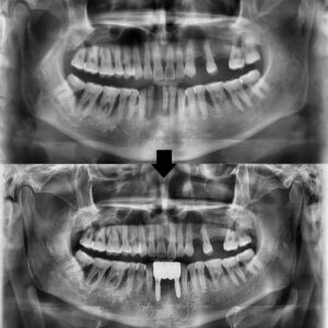
25.08.22
자세하게 확인하기 위해
파노라마를 촬영해보았습니다.
파노라마 상에서 기존 보철물 하방으로
충치가 진행된 양상이 확인되었고,
일부 치아에서는 치근 파절이
의심되는 소견도 함께 관찰되었습니다.
이로 인해 단순한 보철 교체만으로는
예후가 좋지 않을 것으로 판단되었습니다.
그래서 병점치과 365서울차오름에서는
앞니 브릿지 전체 제거 후
충치가 깊고 파절 및 인공치 부위는
임플란트를 진행하기로 하였습니다.
또한 비교적 상태가 유지된 잔존 치아들은
필요 시 신경치료를 시행한 후
크라운으로 마무리하여
기능과 심미성을 함께
회복하기로 하였습니다.

<앞니 브릿지 장단점은?>
✅장점
• 수술이 필요 없어 치료 과정이 비교적 간단함
• 치료 기간이 짧고, 초기 비용 부담이 상대적으로 적음
• 앞니 부위에서도 비교적 자연스러운
형태를 구현할 수 있음
✅단점
• 건강한 인접 치아를 삭제해야 함
• 시간이 지나면서 잇몸 퇴축이 발생하면
보철 경계가 드러나 심미성이 저하될 수 있음
• 보철 하방으로 음식물 끼임이 생기기 쉬워
충치·염증 위험이 증가함
• 롱 브릿지의 경우 지지 치아에 부담이 커
파절이나 수명 단축으로 이어질 수 있음

25.12.29
먼저 브릿지를 깨끗하게 제거 한 뒤
발치를 진행하고 임플란트 식립을
진행하였습니다.
임플란트는 식립 후
초기고정이 중요하기 때문에
한 달 동안은 임플란트에
무리한 힘이 가해지지 않도록
안정화 기간을 갖고,
잇몸과 뼈가 회복될 수 있도록
관리하였습니다.
이 기간 동안 임플란트가 잇몸뼈와
단단히 결합할 수 있도록
경과를 주기적으로 확인하였습니다.
이렇게 4개월 뒤
임플란트의 치유기간을 거친 뒤
특별한 문제 없이 다음 보철 단계로
진행할 수 있었습니다.
전체적으로 임시치아를 제작하여
치료 기간 동안 심미적인 불편함을 줄였으며,
앞니의 형태와 배열, 잇몸 라인을
미리 확인할 수 있도록 하였습니다.
이를 통해 최종 보철물 제작 전
기능과 심미성을 함께 점검하고,
환자분의 만족도를 반영하여
보다 자연스러운 크라운으로
마무리할 수 있도록
준비하였습니다.

26.01.16
이후 임시치아를 통해
발음이나 저작 시 불편함은 없는지,
잇몸 라인과 치아 형태가 자연스러운지 등을
충분히 확인하였으며
이를 토대로 최종 보철 작업을 시작하였습니다.
환자분의 기존 치아 색조를 고려하여
크라운을 제작하였으며,
앞니 특유의 투명감과
자연스러운 형태를 살려
심미성을 높였습니다.
최종 보철물 장착 후에는
교합과 사용감까지 꼼꼼히 확인하여,
일상생활에서 불편함 없이
사용할 수 있도록 마무리하였습니다.

26.01.16
이렇게 치료가 마무리된 후
환자분께 정기검진의 중요성과 관리 방법을
강조하였습니다.
관리가 되지 않으면 임플란트 역시
자연치아와 마찬가지로
염증이 생길 수 있기 때문에,
치료가 끝난 이후의 관리가
무엇보다 중요합니다.
이에 환자분께 올바른 칫솔질 방법과
치간 칫솔·치실 사용법 등을 안내드렸으며,
정기적인 내원을 통해
임플란트 주위 잇몸 상태와
교합을 점검하는 것이 필요하다는 점을
충분히 설명드렸습니다.

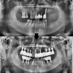
25.08.22 / 26.01.16
치료 전후 사진입니다.
환자분께서는 오래전 치료 받았던 앞니가
심미적으로 보기 싫었지만
치료 후에는 자연스러운 치아 형태와
밝아진 인상에 대해 만족해 주셨습니다.
또한 전부 임플란트로 치료하지 않고,
상태에 따라 꼭 필요한 부위만
임플란트를 진행한 점에 대해서도
만족감을 표현해 주셨습니다.
자연치아를 보존하면서
기능과 심미성을 함께 회복한 치료 계획에
신뢰를 느끼셨다고 말씀해 주셨으며,
부담을 줄이면서도 결과에
만족할 수 있었다는 점을
긍정적으로 평가해 주셨습니다.
이처럼 병점치과 365서울차오름은
단순히 임플란트 개수를 늘리는 치료가 아닌,
현재 치아 상태를 확실히 진단하고
꼭 필요한 치료만을 계획하여
자연치아 보존을 우선으로 생각합니다.
기능적인 회복은 물론
심미적인 만족까지 함께 고려한
맞춤 치료를 통해,
치료 결과뿐 아니라 치료 과정 전반에서
환자분이 신뢰하고 만족할 수 있도록
노력하고 있습니다.
위 사례처럼 앞니의 기능적,심미적인 불편함으로 인해
치료를 고민하고 계신다면
병점치과 365서울차오름치과에서
정밀한 진단을 받아보시길 바랍니다.
감사합니다.
*모든 증례 사진은 의료법 제23조, 제 56조에 의거하여,
당사자의 동의하에 게시하였습니다.
*치료 사진은 모두 본원에서 치료한 환자분의 사진입니다.
*치료 사진은 모두 동일인의 사진이며,
동일조건에서 촬영하였습니다.
*개인의 차이에 따라 시술 및 수술 후 부작용이 발생할 수 있으며,
의료진과 충분한 상담을 받으시기 바랍니다.
병점치과