병점치과 위아래 틀니 중인데 불편하고 잇몸이 헐었어요

병점치과

 

틀니를 오래 사용하다 보면
처음에는 잘 맞던 의치가
점점 헐거워지거나,
잇몸이 눌려 통증이
생기는 경우가 있습니다.

 

특히 잇몸뼈가 시간이 지나며 흡수되면
틀니가 제자리를 유지하기 어렵고,
음식을 씹을 때마다 움직이거나
잇몸이 헐어 일상생활에
불편함을 겪게 됩니다.

 

이처럼 기존 틀니로 인한
불편함이 지속될 때는
단순한 재제작보다 잇몸뼈 상태와
구강 구조를 함께 고려한
근본적인 대안이 필요합니다.

 

그중 하나가 바로
All-on-6 임플란트입니다.

 

전체 치아를 모두 심는 대신,
6개의 임플란트로 전체 보철을
단단히 고정해 안정적인 저작 기능을
회복할 수 있는 방법으로
주목받고 있습니다.

 

오늘은 기존 틀니의 불편함으로 인해
all on 6 임플란트를 진행한
환자분의 치료 사례를 통해
병점치과 365서울차오름의
치료과정을 소개해 드리겠습니다.

 

 병점치과 병점치과 병점치과

24.07.11

환자분께서는 기존 틀니의 불편함으로
본원에 내원해 주셨습니다.

 

위쪽 치아가 전부 상실되어
전체 틀니를 사용하시고 계셨는데요.

 

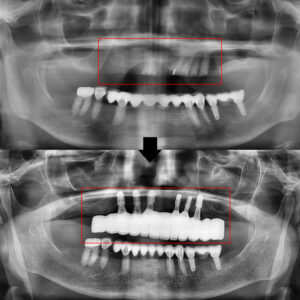
내부의 자세한 상황을 알기 위해
파노라마 사진을 찍어보았습니다.

 

병점치과

 

24.07.11

파노라마를 확인해 보니,
위쪽의 아직 발치되지 않은
잔존치근(뿌리)가 있었습니다.

 

환자분께서는 기존 틀니를
오래 사용하면서 헐거움과 통증 등으로
불편함을 지속적으로 호소하셨고,
더 이상 임시방편이 아닌
근본적인 해결을 원하셨습니다.

 

이에 병점치과 365서울차오름에서는
전체적인 저작 기능 회복과
안정적인 고정을 위해
잔존치근을 전부 발치한 후
All-on-6 임플란트 치료를
계획하게 되었습니다.

 

병점치과

 

<All on 6 임플란트란?>

All-on-6 임플란트는
치아가 전부 상실된 경우,
전체 치아를 각각 심는 대신
6개의 임플란트로 전체 보철물을
단단히 지지하는 치료 방법입니다.

 

이 방법은 잇몸뼈의 상태를
정밀하게 분석해,
하중이 고르게 분산되도록
전략적인 위치에
6개의 임플란트를 식립합니다.

 

그 위에 전체 치열을 복원하는
브릿지 형태의 보철물을 연결하여,
단단한 저작력과 안정적인 심미성을
동시에 얻을 수 있습니다.

 

기존 틀니와 달리 움직이거나
잇몸이 눌리는 불편함이 없고,
음식물을 씹을 때의 안정감이 뛰어나며
발음 개선도 기대할 수 있습니다.

 

또한, 임플란트 개수를 줄이면서도
전체 치열을 복원할 수 있어
시간적·경제적 효율이 높은
치료로 평가받고 있습니다.

 

즉, All on 6 임플란트는
틀니의 불편함을 해소하면서도
자연치아와 유사한 기능을
회복할 수 있는 전악 복원 솔루션입니다.

 

병점치과

 

먼저 남아있는 뿌리를
전부 발치한 뒤 임플란트를
식립하였습니다.

 

그리고 임플란트가 치유되기 전까지
기존 틀니의 내면을 조정하여
사용하기로 하였습니다.

 

임플란트는 초기 고정이
매우 중요하기 때문에
수술 후 주의사항을
상세히 안내해드리며,
치유 기간 동안 안정적인 상태를
유지할 수 있도록 관리했습니다.

 

수술 직후에는 무리한 운동이나
뜨거운 음식은 피하고,
부드럽고 미지근한 음식 위주로
섭취하도록 안내드렸습니다.

 

그리고 부기와 출혈 완화를 위해
얼음찜질을 간격을 두고 시행하며,
처방 약은 규칙적으로
복용하시도록 하였습니다.

 

또한 흡연과 음주는
임플란트 유착을 방해하므로
치유 완료 전까지는 삼가야 하며,
양치 시에는 수술 부위를 피해
부드러운 칫솔로 주변을
가볍게 관리하시도록 안내했습니다.

 

  병점치과 병점치과 병점치과

 

24.11.19

약 4개월간의 치유 기간을 거친 후,
임플란트의 고정 상태와 수치를 확인해보니
특별한 문제 없이 안정적으로
치유가 진행되고 있었습니다.

 

이에 2차 수술을 진행한 뒤,
맞춤형 지대주와 임시치아를 제작하기 위해
정밀 인상채득을 시행하였습니다.

 

임시치아를 통해 치아의 길이나
모양, 형태를 확인하며
최종 보철물 제작 시
심미성과 기능성을 모두
만족할 수 있도록 하였습니다.

 

병점치과 병점치과

병점치과 병점치과

 

24.11.30

이후 임시치아 장착 시 아쉬웠던 부분을
보완하여 제작된 최종 보철물을
맞춰보았습니다.

 

길어보였던 치아가
자연스럽게 조정되면서
전체적인 비율이
한층 균형 있게 다듬어졌습니다.

 

위쪽의 전체적인 보철물이
들어가기 때문에
교합 또한 세밀하게 조정하여
양쪽으로 균형 잡힌 저작이
가능하도록 맞춰드렸습니다.

 

이를 통해 씹는 힘이 고르게 분산되면서
턱관절 부담이 줄고,
식사 시에도 훨씬 안정적인
느낌을 받으실 수 있었습니다.

 

병점치과

 

24.12.07

환자분께 틀니를 착용했던
기간이 길었던 만큼,
잇몸뼈가 흡수되어 최종 보철물이 길어졌고,
음식물이 보철물 사이로
많이 낄 수 있다는 점을
말씀드렸습니다.

 

이를 해결하기 위해
치간칫솔과 워터픽을 사용하여
보철물 사이를 깨끗하게 관리할 수 있도록
안내드렸습니다.

 

치간칫솔은 보철물 사이에
낀 음식물을 제거할 수 있으며,
워터픽은 잇몸과 치아 사이에
물살을 이용해 남은 찌꺼기를
쉽게 제거할 수 있어
구강 위생 관리에 큰 도움이 됩니다.

 

병점치과 병점치과

 

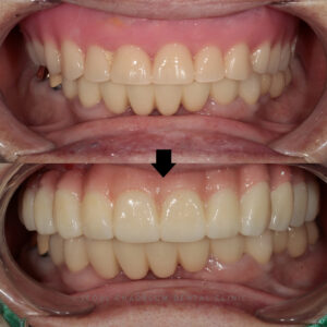
24.07.11 / 24.11.30 / 24.12.07

치료 전후 사진입니다.

 

환자분께서는 틀니만 쓰시다가
임플란트를 쓰니 어색해하셨으나,
적응기간을 거치고 틀니보다
편하다며 만족해 주셨습니다.

 

하지만 임플란트 하방으로
음식물이 저류 되고
관리가 잘 되지 않아 정기검진 오실 때마다
체크하며 치간칫솔 교육을
진행해 드렸습니다.

 

이처럼 병점치과 365서울차오름치과는
환자분들의 편안한 치료뿐만 아니라,
치료 후 관리까지 세심하게 안내하여
지속적인 구강 건강을
유지할 수 있도록 돕고 있습니다.

 

위 사례처럼 기존 틀니의 불편함으로 인해
임플란트를 고민하고 계신다면
병점치과 365서울차오름에서
임플란트 상담을 받아보시길 바랍니다.

 

감사합니다.

 

*모든 증례 사진은 의료법 제23조, 제 56조에 의거하여,
당사자의 동의하에 게시하였습니다.
*치료 사진은 모두 본원에서 치료한 환자분의 사진입니다.
*치료 사진은 모두 동일인의 사진이며,
동일조건에서 촬영하였습니다.
*개인의 차이에 따라 시술 및 수술 후 부작용이 발생할 수 있으며,
의료진과 충분한 상담을 받으시기 바랍니다.

병점치과

문의 전화

031-375-2828

네이버 예약

네이버 예약