병점치과 앞니가 전체적으로 부러졌어요

병점치과

 

앞니는 단순히 음식을
씹는 기능뿐만 아니라,
얼굴의 인상과 미소에
큰 영향을 미칩니다.

 

따라서 앞니에 문제가 생기면
외적인 부분뿐만 아니라
일상적인 생활에도
불편함을 느낄 수 있습니다.

 

특히 앞니가 전체적으로
부러졌을 때는 그 심각성이 크고,
외모뿐만 아니라 저작 기능에도
영향을 줄 수 있습니다.

 

이런 경우에는
적절한 치료가 필요하며,
발치 후 임플란트 식립과
보철물 연결이 중요한
해결책이 될 수 있습니다.

 

오늘은 앞니의 파절로 인해
발치 후 임플란트를 진행한
환자분의 치료 사례를 통해
병점치과 365서울차오름의
치료과정을 소개해 드리겠습니다.

 

병점치과 병점치과

 

25.02.05

위 환자분께서는
앞니의 파절로 인해
심미적•기능적으로
큰 어려움을 겪고 계셨습니다.

 

앞니는 미소와 발음,
그리고 저작 기능에
중요한 역할을 하므로,
이를 상실하면 일상생활에서
불편함을 크게 느낄 수 있습니다.

 

병점치과

 

25.02.05

자세한 확인을 위해
파노라마를 촬영해보았습니다.

 

치아의 머리 부분이 전체적으로
파절이 되어 뿌리만 남아있는
상황이였습니다.

 

치아를 살리기에는 구조적으로
어려움이 있었기 때문에
병점치과 365서울차오름에서는
발치 후 임플란트 식립을 통해
안정적이고 기능적인 회복을 위한
치료 계획을 수립하였습니다.

 

병점치과 병점치과 병점치과

 

25.02.06

앞니 부분이라 심미적인 부분을
빠르게 개선하기 위해
발치를 하며 즉시 식립을 진행하였습니다.

 

또한 발치 후 식립하면
잇몸뼈가 꺼질 수 있기 때문에
뼈이식을 진행하여 임플란트가
안정적으로 고정될 수 있도록
지원했습니다.

 

뼈이식을 통해
잇몸뼈의 양과 질을 확보하고,
장기적으로 안정적인 임플란트
식립이 가능하도록
만들어주었습니다.

 

총 2개를 식립하여
추후 보철이 4개로
연결될 수 있도록 하였습니다.

 

병점치과

 

<발치 즉시 식립의 장점은?>

 

✅치료 기간 단축
발치 후 바로 임플란트를 식립함으로써,
별도의 대기 기간 없이
빠르게 치아를 복원할 수 있습니다.

이로 인해 전체
치료 기간이 단축됩니다.

 

✅심미적 개선
즉시 식립을 통해 발치 후
빠르게 치아의 모양을 회복할 수 있어,
외관에 미치는 영향을 줄이며
심미적으로 만족스러운 결과를 제공합니다.

특히 앞니와 같은 부위에서는
빠른 개선이 중요합니다.

 

✅환자의 만족도 향상
빠른 치아 복원으로
환자들의 불안감을 줄이고,
신속한 회복을 돕기 때문에
환자들의 만족도가 높습니다.

 

병점치과

 

25.05.09

이렇게 식립 후 임플란트의 치유기간을 거친 뒤
보철 작업을 시작하였습니다.

 

앞니 부분이다 보니
심미적인 요소가 중요하기 때문에,
치아의 색상, 모양, 크기 등을
세심하게 고려하여
보철물을 제작하였습니다.

 

병점치과 병점치과

 

25.05.09

환자분과 함께 확인해보면서
보철물을 조정한 뒤,
괜찮으시다고 하셔서
영구접착을 진행하였습니다.

 

병점치과

 

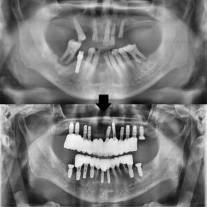
25.02.05 / 25.05.09

 

치료 전후 사진입니다.

 

환자분께서는 보이는 앞니 부분이 부러져
보기 싫어 빠르게 치료를 원하셨는데
3개월 만에 끝낼 수 있어서
매우 만족해 주셨습니다.

 

또한 완성된 보철도
자연스럽고 예쁘다며
좋아해 주셨습니다.

 

이처럼 병점치과 365서울차오름은
환자분들에게 가장 완전하고
최선의 진료를 제공하기 위해
노력하고 있습니다.

 

또한 부도덕한 과잉진료 및
무관심한 과소진료를 하지 않으며,
환자분들의 건강과 만족을
최우선으로 생각합니다.

 

위 사례처럼 앞니의 파절로 인해
빠르게 개선을 원하신다면
병점치과 365서울차오름치과에서
정밀한 상담과 진단을 받아보시길 바랍니다.

 

감사합니다.

 

*모든 증례 사진은 의료법 제23조, 제 56조에 의거하여,
당사자의 동의하에 게시하였습니다.
*치료 사진은 모두 본원에서 치료한 환자분의 사진입니다.
*치료 사진은 모두 동일인의 사진이며,
동일조건에서 촬영하였습니다.
*개인의 차이에 따라 시술 및 수술 후 부작용이 발생할 수 있으며,
의료진과 충분한 상담을 받으시기 바랍니다.

 

 

문의 전화

031-375-2828

네이버 예약

네이버 예약